高性能纖維是指具有特殊理化結構、性能及功能的化學纖維,通常具有極高的抗拉強度和楊氏模量,同時兼具耐高溫、耐輻射、耐酸堿、抗燃等優異性能,常見品種有碳纖維、芳綸纖維、超高分子量聚乙烯纖維、玄武巖纖維、聚苯硫醚纖維等。高性能纖維復合材料則是以高性能纖維作為增強材料,樹脂作為基體,加工而成的復合材料,具備質輕、高強高模、抗疲勞、耐腐蝕、易加工成型等特點,被廣泛應用于航空航天、國防軍工、軌道交通、能源工業等領域,無論在軍用還是民用領域都發揮了重大作用,深刻影響著國家安全、社會經濟、科技和人類的生活。因此,高性能纖維復合材料作為先進纖維復合材料中極具代表性且應用最為廣泛的分支,已成為世界各國發展高新技術、國防尖端武器裝備等戰略性產業不可或缺的關鍵材料。
目前,全球高性能纖維及復合材料優勢企業主要集中在日本、美國和歐洲。日本擁有東麗、帝人以及三菱化學三大碳纖維及復合材料供應商,不僅占據了全球碳纖維產能一半,還壟斷了高端領域用碳纖維產品的生產技術;美國杜邦公司在芳綸市場占據主導地位,無論是高端產品的技術水平還是低端產品的價格水平,相比其他企業都占有絕對優勢;歐洲在超高分子量聚乙烯纖維領域占有舉足輕重的地位,荷蘭帝斯曼公司是全球產量最高和質量最佳的超高分子量聚乙烯纖維供應商;中國已經初步實現了多種高性能纖維及復合材料的產業化生產,且具備了一定的產業規模,但是在高強度、高模量及高端領域所用高性能纖維的產業化關鍵技術、產品穩定性等方面與發達國家還存在較大差距。
高性能纖維是發展國防軍工、航空航天等高科技產業的重要基礎材料。近年來,隨著高性能纖維價格的持續下降及國家節能、環保政策的推動,高性能纖維在民用領域的應用范圍日益拓展,一些新興產業如風力發電、汽車、高鐵等對高性能纖維的需求日益增長,成為新的經濟增長點。如今,全球高性能纖維及復合材料正朝著制造技術先進化、低成本化、材料高性能化、多功能化和應用擴大化的方向發展。2019年世界各國在高性能纖維及復合材料領域的前沿技術探索、應用潛力開發等方面成果頗豐。
1、美國
美國是最先開展碳纖維及芳綸纖維研究的國家,擁有全球領先的高性能纖維、復合材料以及各領域復材制品產業鏈。目前,美國在航空航天和軍工領域高性能纖維的應用具有獨特優勢,壓力容器、風電和汽車等市場也在快速發展。碳纖維占據了美國最大的高性能纖維材料市場份額,主要應用在國防安全領域。近年來,超高分子量聚乙烯纖維也開始成為美國國防研究部門的“新寵”。
超高分子量聚乙烯纖維在已開發的纖維中密度最低、強度最高,是目前防彈性能最好的纖維,在國防軍工領域有著不可替代的作用。2019年9月,美國陸軍研究實驗室表示正在通過將超高分子量聚乙烯與氧化硅納米粒子結合的一種新技術制備用于防彈衣的新材料,這種新材料具有更高的強度,是吸收子彈和其它彈殼撞擊的理想材料。2019年11月,美國官員表示,目前美國特種部隊正在對一款輕型戰斗裝甲進行測試,它是之前“戰術突擊輕型行動服(TALOS)”(圖1)的項目成果之一,這款輕型裝甲是一種“輕型聚乙烯肢體防護裝甲”既強固又輕巧,比現行的標準防護裝備輕了25%,這款新型的戰斗裝甲與現役的標準步兵防彈服(身體覆蓋率19%)相比,身體覆蓋率達到44%以上,能有效保護士兵的肩膀、體前側、前臂和跨部。

圖1 戰術突擊輕型行動服
高性能纖維材料在美國航空航天領域經過近40年的發展,已經進入成熟應用期。美國在該領域的設計和制造經驗已經非常豐富,先后成功研制出了全碳纖維/環氧復合材料機身等各種復合材料結構件,波音747中碳纖維復合材料的質量占比已高達50%。未來航空航天領域用高性能纖維及復合材料的主要發展方向為結構化、功能化材料研發以及低成本、一體化技術的開發應用。2019年3月15日,美國空軍研究實驗室(AFRL)與阿肯色大學、邁阿密大學合作開發出3D碳纖維/環氧樹脂復合材料,研制出一種定制化直接噴墨3D打印設備(圖2),可用于加工航空航天領域的短纖維環氧樹脂復合材料結構件,這種材料的開發為下一代多功能無人飛行器結構零件的制造提供了技術支持。除了對航空航天和軍工等重點領域的研究,美國也高度重視高性能纖維及復合材料在其他領域的應用研究。

圖2 3D碳纖維/環氧樹脂復合材料
2019年10月29日,OceanGate公司宣布,計劃使用碳纖維和鈦設計建造2種新的潛水器,以滿足對深海載人潛水器日益增長的遠征、研究和商業需求。在汽車領域,美國通用汽車公司于2019年宣布開始在通用Sierra皮卡GMC Sierra Denali 1500”(圖3)和“GMC Sierra AT4 1500”中使用碳纖維車廂,該皮卡車廂(CarbonPro)由通用公司與帝人聯合開發,是世界上首次將碳纖維增強熱塑性塑料用于大批量生產的汽車結構部件,這款“CarbonPro”與其他皮卡車廂相比,重量減少了約25%,且具有一流的抗凹痕、耐刮擦和耐腐蝕性。

圖3 GMC Sierra Denali 1500
在推進高性能纖維及復合材料市場化應用的同時,美國科研人員也一直致力于新結構、新功能材料的研究。2019年6月,美國萊斯大學的Ajayan團隊研發了一種高介電、高導熱以及耐高溫芳香聚酰胺纖維增強的層狀復合材料。該材料介電常數最高可達6.3,導熱系數最高可達2.4W·m-1·K-1 ,擊穿強度可高達292MV·m-,楊氏模量達到11GPa,有望應用于高溫儲能器件中。
高性能纖維作為復合材料的增強材料,其自身的力學性能在很大程度上影響著纖維復合材料的性能,為此,美國佐治亞理工學院針對高性能碳纖維的制備進行了深入研究,其研究小組已經開發出一項新技術,可以提高碳纖維的強度和模量。2019年1月,佐治亞理工學院的Kumar團隊采用聚丙烯腈(PAN)纖維為原料,成功制備了質量分數超過40%的納米微晶纖維素(CNC)碳纖維。PAN/CNC基碳纖維的拉伸強度在1.8~2.3GPa范圍內,拉伸模量在220~265GPa范圍內。
2、日本
日本在高性能纖維及復合材料行業的產品種類、生產技術、產品質量和系列化開發等方面均具有很強的全球競爭力,是高性能纖維產品種類最全的國家。尤其是在碳纖維領域,日本擁有全球最多的技術專利,覆蓋產業鏈的各個環節,并且占據全球PAN基碳纖維70%以上的市場份額,在國際市場上穩居霸主地位。為保持其在高性能纖維及復合材料行業的領先優勢,日本針對產業鏈各環節的關鍵材料均有研究布局。
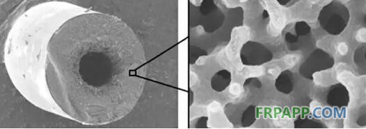
日本企業非常重視高性能纖維及復合材料相關技術的研發,從生產工藝到復合材料的應用方面均擁有大量的研發人員。2019年11月18日,東麗公司通過自身的聚合物技術和纖維技術,研制出世界上第一種具有納米級連續孔結構的多孔碳纖維(圖4),并且可以利用自身的技術確保孔隙的均勻分布以及定制多孔結構的固定尺寸,這種纖維材料結構緊密且質輕,具有優異的化學穩定性和透氣性,可以用來制作先進膜材料的支撐層,實現更具有環境友好性的天然氣和沼氣凈化、溫室氣體分離以及安全制氫。

圖4 納米級連續孔結構的多孔碳纖維結構圖
2019年日本領先碳纖維供應商在新型纖維預浸料的開發上取得了先進的研究成果。2019年3月4日,帝人公司宣布研發出了一種新型碳纖維增強雙馬來酰亞胺樹脂(BMI)預浸料,這種預浸料具有高達280℃的玻璃化轉變溫度,以及較高的沖擊后抗壓強度和較小的線性熱膨脹系數,是日本首個兼具高耐熱性和高耐沖擊性的BMI預浸料,為航空航天發動機零部件的生產提供了新的思路。
東麗公司成功研發出新型航空用碳纖維增強塑料(CFRP)預浸料和高端汽車和賽車用新型預浸樹脂系統“東麗TC346”。其中,新型CFRP預浸料適用于真空成型技術,與傳統預浸料使用熱壓罐成型技術相比,能夠顯著降低制造成本。“東麗TC346”具有優異的機械性能和表面光澤度,是目前性能最高的產品,可以制成各種重量和纖維的單向膠帶或織物,廣泛應用于賽車變速箱、懸架、機翼和防撞結構。
日本帝人公司是全球第一家量產汽車用碳纖維的企業,多年來也一直在加快該領域的研究。2019年3月6日,帝人汽車復合材料專業集團開發出了一種多材料復合材料汽車門概念,這款多材料側門模塊(圖5)由碳纖片狀模塑料(SMC)、玻璃纖維SMC和單向玻璃纖維增強塑料(GFRP)制成,具有高強度、低重量、優異的耐熱性和減震性、卓越的設計自由度以及能夠實現深拉伸等優點。帝人計劃于2025年推出商用門模塊,爭取成為多材料汽車零部件的全球供應商。

圖5 多材料復合汽車側門模塊原型
日本對現有建筑物的大規模翻新和屋頂的擴建/翻新用材料也進行了深入研究。2019年10月9日,日本大成建設(Taisei)開發了一種超輕型碳纖維復合材料(CFRP)結構部件—T-CFRP梁(圖6)。該T-CFRP梁重量僅為鋼架的1/5,并且可以根據建筑物的應用自由設計構件的剛度、強度和形狀。這項技術的開發將應對不斷增長的建筑用輕量化構件的需求。

此外,日本在推進高性能纖維及復合材料相關技術、追求產品市場效益的同時,為了節省能源,減輕環境負擔,也越來越重視纖維材料的回收再利用研究。日本汽車制造商協會于2019年下半年開始有關如何回收燃料電池汽車中使用的碳纖維增強塑料的基礎研究這項研究旨在通過探索阻燃碳纖維的燃燒機理,為將來報廢汽車做準備。
2019年9月24日,日本經濟產業省與法國政府、歐洲空客發布了關于飛機碳纖維再利用等環保領域的合作戰略。日本經濟產業省將在碳纖維企業及相關學校的協助下,共同構建碳纖維回收并以低成本再利用的生產機制。
3、歐洲
歐洲匯聚了德國西格里集團(SGL)、比利時索爾維集團(Solvay)、荷蘭皇家帝斯曼集團(DSM)等多家高性能纖維及復合材料領域的突出企業以及英國國家復合材料中心(NCC)、德國航空航天研究試驗院(DLR)等科研院所。近年來,輕量化趨勢大力推動了高性能纖維復合材料在汽車工程、航空航天、建筑等行業的發展。2019年,歐洲在高性能纖維及復合材料的車用、船用等多領域應用進行了深入研究。
2019年4月7日,英國利物浦公司(BriggsAu?tomotiveCompany,BAC)正式推出“MonoR”跑車(圖7)。是世界上第一款在每個車身面板“MonoR”中都完全采用石墨烯增強碳纖維的量產車,石墨烯增強了纖維的結構特性,使面板更堅固、更輕,具有更好的機械和熱性能,也使得“MonoR”具有更高性能。

2019年11月,法國科紡勒集團(Chomarat)為瑞典古斯塔夫斯堡(ArconaYachts)的巡洋艦435型號和465型號開發了碳纖維增強材料。Cho-marat為了在澆灌過程中獲得更好的滲透性,深入研究了高性能C-PLYTM的最佳結構,開發出的高性能C-PLYTM碳纖維非卷曲織物(NCF),使其具有更高的機械性能和與多種樹脂的相容性,而且可以實現更優的成本效益。Chomarat用于巡洋艦的船體和甲板的灌注技術將高達70%的碳纖維摻入層壓板中,可帶來結構設計優勢、優質的表面質量及整體零件成本的縮減。
德國西格里(SGL)集團作為全球領先的碳素石墨材料及相關制品的制造商,是歐洲唯一一個在世界碳纖維市場占據主要份額的企業。2019年,SGL為尋求更多的業務發展方式,擴大碳纖維復合材料在更多領域中的作用。2019年4月30日,SGL與上海蔚來汽車有限公司(NIO)合作,共同研制電動汽車碳纖維增強型塑料電池外殼原型,該電池外殼比傳統鋁或鋼制電池外殼輕40%,具有高剛性且比鋁的熱導率低200倍,能夠更好地保護電池本體不受外界冷熱的影響。除此以外,復合材料還賦予電池外殼優異的氣密性、防水性和耐腐蝕性。
慕尼黑工業大學(TUM)團隊與SGL的專家合作開發了一種超回路列車(Hyperloop)膠囊艙的優化模型(圖8),該模型使用了SGL的預浸碳纖維編織材料,通過設計和材料優化,膠囊艙結構重約5.6 kg,與6.1kg的前一型號相比輕了約10%。此外,不同于以前的塑料解決方案,此次運輸艙的外殼襯板也完全由碳纖維材料制成,將其重量從1.5kg減少到僅0.7kg。該模型在2019年7月21日舉辦的第四屆超回路列車(Hyperloop)競賽中,以463km/h的速度為其研發團隊獲得冠軍。
歐盟早在2000年制定的里斯本戰略中就把可持續發展作為重要政策來實施。如今,在歐洲,可持續發展的概念早已深入人心。 2019年,歐洲企業在纖維復合材料的回收再利用方面也有新的成果面世。英國ELGCarbonFibre公司是實現再生碳纖維商業化運作的公司,擁有世界上第一個也是世界上最大的碳纖維回收廠。2019年12月4日,ELG為助力英力士隊參戰美洲杯帆船賽,利用制造比賽船只時產生的廢料,將其再加工成非織造碳纖維氈,進一步用來制成了兩個固定船身的運輸托架,這種回收材料性能良好,可直接用于現有工藝,充分表明碳纖維復合材料可以進行回收再利用,減輕環境負擔。2019年12月10日,ELG和英國哈德斯菲爾德大學鐵路研究所UniversityofHud?dlersfield’sInstituteforRailwayResearch)聯合研究并發布了世界首個碳纖維復合軌道轉向架,稱為“CAFIBO”(圖9)。該新型轉向架完全由剩余和回收的碳纖維材料制成,比常規轉向架輕,并具有更優異的垂直和橫向剛度。在鐵路車輛中使用這種新型轉向架可以減少軌道磨損、降低基礎設施維護成本、提高可靠性和運營可用性以及節約能源,減緩全球變暖。


在高性能纖維材料的“新藍海”——玄武巖纖維方面,歐洲企業已經在技術和產能上開始了相關布局。俄羅斯的Anisoprint公司于2019年6月推出了一種用于連續纖維3D打印技術的新型玄武巖纖維復合材料(CBF)用這種材料打印的零件,強度是塑料的30倍、鋁的2倍,比重也更輕。德國LipexEngineeringGmbH公司在俄羅斯投資5000萬歐元,開始建立玄武巖纖維生產線,以滿足玄武巖纖維快速增長的市場需求。
除了在車用、船用領域取得的研究進展以外,歐洲也在重點關注航空航天等領域。2019年5月2日,德國西格里公司(SGL)與英國國家復合材料中心(NationalCompositeCenter,NCC)達成合作協議,雙方將針對航空、交通運輸和油氣等領域的市場需求,共同開發下一代復合材料生產技術,提升一級和二級結構件中復合材料的使用率。目前,雙方已經利用NCC位于英國布里斯托的實驗設備開展碳纖維織物(包括無卷曲布等)先進加工工藝的項目研發,下一步將利用SGL集團所提供的碳纖維無卷曲布生產出復合材料機翼樣件。2019年12月3日,SGL與Solvay達成一項聯合開發協議。該協議計劃將基于大絲束中模量(IM)碳纖維的首個用于商業航空的復合材料推向市場,這些材料將基于SGL的IM碳纖維和Solvay的主結構件樹脂系統,幫助滿足降低成本和二氧化碳排放量的需求,并改善下一代商用飛機的生產工藝和燃油效率。
在過去的幾十年,為開發并制造出能夠用于航天器中關鍵尺寸器件的尺寸超穩定結構的材料,研究人員進行大量的研究,并發展出了碳纖維增強聚合物材料。但由于水分的侵入和釋放而導致的尺寸不穩定仍然是基質的基本弱點,這限制了復合材料的許多應用。英國薩里大學Silva等通過開發一種空間可限定的物理表面勢壘來應對這一挑戰,這種勢壘與復合材料的力學性能相融合,從而成為復合材料本身的一部分。所得到的纖維增強復合材料具有機械完整性和優于底層復合材料的強度,同時保持不透水和排氣。此外,歐洲科研人員在高性能纖維基礎研究方面也取得了成果。2019年12月13日,德國拜羅伊特大學高分子化學和聚合物研究所Greiner團隊在《Science》發表了《Highstrengthincombinationwithhightoughnessinrobustandsustainablepoly-mericmaterials》的研究文章,通過改進分子交聯,克服了人造纖維材料強度和韌性的沖突,制造出多纖維PAN紗線,韌性高達(137±21)J/g、拉伸強度為(1236±40)MPa。
4、中國
近年來,中國在高性能纖維及復合材料行業關鍵技術、產業化、設備與市場應用等方面取得了突破性發展,正逐步發展成為高性能纖維及復合材料的生產和消費大國。目前,中國高性能纖維及復合材料領域品種較全,少數品種如超高分子量聚乙烯、間位芳綸、玄武巖和聚酰亞胺纖維的生產規模已達到國際水平。
國內碳纖維的研究主要集中于T系列,即高強型碳纖維,目前國內生產的T300級碳纖維性能已與國際水平同步,T700級碳纖維已實現規模化生產和高性能結構材料的規模應用,T800級碳纖維2016年才剛剛投產,而日本早在1986年就已經實現了T1000級碳纖維的生產。以中復神鷹碳纖維有限責任公司為首的國內碳纖維企業一直在努力提升國產碳纖維技術。2019年10月29日,由中復神鷹牽頭,東華大學和江蘇新鷹游機械有限公司共同承擔的“QZ6026(T1000級)超高強度碳纖維百噸級工程化關鍵技術”順利通過了技術鑒定,率先在國內實現了干噴濕紡T1000級超高強度碳纖維工程化,將來可以為更多的國產先進武器和設備提供高性能纖維材料。
目前,中國碳纖維復合材料的應用市場多集中在體育休閑為主的中低端領域,隨著國內碳纖維及復合材料生產技術的不斷突破,碳纖維復合材料的應用領域也在不斷拓展。
2019年12月13日,世界上首條全線路采用碳纖維復合芯導線的特高壓工程在內蒙古正式并網投運,該工程線路全長14.6km,全部采用中國自主研制的碳纖維復合芯導線,與傳統的鋼芯導線相比,碳纖維復合芯導線具有重量輕、強度高、安全性好、導體導電率高、傳輸損失小等優點。該線路的投運不僅可以節約能源,降低運行成本還可以每年增加132萬kW/h的輸送電量,以緩解用電緊張問題。
在汽車領域,2019年3月20日,中國首輛采用氫能碳纖維車身的乘用車在“中國光谷”研制成功(圖10)該車搭載全球領先技術的氫燃料電堆,續航里程可達1000km以上,全身采用碳纖維材料,使車身結構更輕更強韌、汽車更加輕量化。該車預計于2020年在中國一線城市推廣。
近年來,無人機系統使用越來越廣泛,已發展成為航空工業最具活力的發展領域。碳纖維復合材料在無人機領域的應用也成為了高性能纖維復合材料發展的新亮點。2019年12月6日,威海光威復合材料股份有限公司向航空工業直升機設計研究所交付了首架AV500B/C無人機(圖11),該無人機的蒙皮(蜂窩和泡沫夾層結構件)、整體油箱承力結構、尾梁整體結構和層壓件、封閉腔型結構件等零件,采用了大量由光威復材自主研制的碳纖維復合材料,極大地提高了無人機巡航能力和機動靈活性。該系列無人機主要應用于軍用市場,也可通過改裝用于其他民用領域,具有巨大的市場潛力。


為進一步拓展國產碳纖維復合材料在更多高端、關鍵領域的應用,提升高品質碳纖維產品的國產化能力至關重要,尤其是目前應用范圍最廣的PAN基碳纖維,國內生產技術還存在諸多問題,碳纖維品質提升仍需要進行工藝流程細化和優化。中國科研人員針對這些問題做了深入的研究和分析。在聚合方面,應該推動連續聚合工藝的應用,目前國內PAN碳纖維生產廠家多采用間歇或半連續的聚合工藝為主。事實上,對于任何工藝過程而言,連續過程無疑是更加穩定并且易于控制的,有利于提高PAN基碳纖維原絲紡絲溶液的穩定性,最終提高PAN基碳纖維的品質,降低其各種性能指標的離散系數(CV值);在PAN基碳纖維原絲制備過程中,合理的凝固條件可以調控PAN紡絲溶液的相分離過程,進而控制原絲中微缺的形成,有利于提高碳纖維的品質。PAN原絲制備過程中,干燥致密化過程是另一個可以調控原絲中微缺陷結構的重要步驟。合理的張力、溫濕度可以有效使PAN分子鏈塑化,促進PAN基碳纖維原絲在相分離過程中所形成的微孔結構融合,降低PAN原絲中的微缺陷,提高原絲性能,并最終提高PAN基碳纖維的品質。
在PAN基碳纖維的結構與性能相關性研究方面科研人員發現對于模量大于350GPa的PAN基碳纖維,石墨化程度的提高對模量的提高關系不大,而主要來源于碳纖維中石墨晶體中的石墨片層的規則排列和石墨晶體的尺寸增長以及石墨晶體取向度的增大;對于PAN基碳纖維的強度而言,石墨晶體之間相互糾纏和石墨片層之間的缺點則可以有效使碳纖維在牽伸過程中應力的分散,從而提高碳纖維的強度。此外,碳纖維中的任何缺陷結構,包括微孔、皮芯結構等均導致碳纖維性能降低,理想的PAN基碳纖維結構應均勻,盡量減少皮芯結構等缺陷。
除了在碳纖維領域取得了重要研究進展外,國內在其他高性能纖維及復合材料方面的研究也取得了很多關鍵技術的突破。2019年3月29日,四川省玻纖集團有限公司聯合四川大學、西南科技大學共同研發出了連續玄武巖纖維單元池窯生產技術,投產運營了中國具有完全自主知識產權的第一條年產8000t連續玄武巖纖維池窯拉絲中試生產線。該生產線已經成功生產出9~17μm多個規格的連續玄武巖纖維,相比傳統坩堝法工藝降低了20%以上的生產成本,為國內連續玄武巖纖維的發展奠定了技術基礎。2019年11月23日,由內蒙古石墨烯材料研究院與清華大學共同研發的國產化對位芳綸,經過3個多月的調試運行,順利建成了年產100t的對位芳綸生產線,成功打破了國外對芳綸技術壟斷,加速推進了國內對位芳綸的產業化進程。
芳綸納米纖維(aramidnanofibers,ANFs)作為近年來開發的一種新型納米高分子材料,兼具對位芳綸纖維(PPTA)和高分子納米纖維的雙重優勢,可解決芳綸纖維存在的表面光滑惰性強、復合界面強度弱等問題。但是傳統ANFs的制備方法存在周期長(7d)、反應濃度低(0.2%)、反應效率低等問題,嚴重困擾著ANFs規模化應用與發展。陜西科技大學張美云團隊為解決這一問題,利用原纖化/超聲/質子供體耦合去質子化法制備ANFs,使得ANFs制備周期從傳統的7d縮短至4h,制備的ANFs具有小的直徑及尺度分布(10.7±1.0)nm,同時也探究了高濃度ANFs的制備,在12h內即可制得4.0%的高濃度ANFs,成膜具有優異的機械性能與熱穩定性,本研究提出的ANFs高效制備方法工藝簡單、性能優異,有望進一步推動其規模化生產與產業化應用。
中國高性能纖維及復合材料的研究起步較晚,且產、學、研、用脫節,在高端領域自主創新能力與發達國家相比存在明顯差距。但隨著在政策支持與科技創新方面的持續投入,中國高性能纖維及復合材料關鍵技術的自主研發與產業化將實現聯動突破,有望逐步打破國外技術壟斷,實現高端領域先進纖維材料的國產化。
高性能纖維復合材料在航空航天、軌道交通、汽車、建筑、風能、船舶等領域具有廣闊的發展前景。2019年世界各國在高性能纖維復合材料領域的研究方面成果頗豐。美國重點研發出了軍工以及航空航天領域用功能性先進纖維新材料;日本三大碳纖維供應商在纖維原材料、纖維預浸料到復合材料制品整個產業鏈都取得了突破性的研究進展;歐洲主要在車用和船用高性能纖維材料領域進行了深入研究;中國主要集中于高性能纖維復合材料的關鍵技術突破與市場化應用。同時,在全球能源危機和環境污染問題日趨嚴峻的情況下,各國紛紛開展了對廢棄纖維復合材料回收再利用的研究,并取得了一定的成果。
隨著高性能纖維復合材料研究的不斷深入與應用領域的不斷拓展,其市場需求將呈現快速發展的趨勢。世界各國都將抓住這一市場機遇,以創新推動高性能纖維復合材料的可持續發展。未來高性能纖維及復合材料產業發展方向主要包括:圍繞汽車、高鐵等應用領域設計研發結構功能一體化產品;發展低成本技術、一體化成型技術以及智能化加工體系;綠色化推動高性能纖維產品的生產、開發、應用以及循環回收等。
目前,中國高性能纖維復合材料產業正處于發展的關鍵階段,為了滿足高性能纖維復合材料國內戰略安全以及日益增長的市場需求,國家重點支持國防軍工等高端領域用先進纖維復合材料的技術研究,加強行業宏觀引導、推動纖維行業綠色協調發展,中國有望到2025年成為高性能纖維復合材料產業強國。










魯ICP備2021047099號